塑胶球盟会官网登录入口针对模仁钢材的八大性能要求,具体如下:
2017-09-28
塑胶球盟会官网登录入口注塑新技术,高光无痕注塑技术
球盟会官网登录入口-申请深圳市创新型中小企业
2017-09-27
南京国庆8日游
2017-09-26
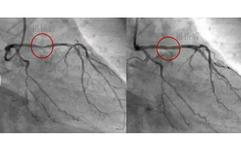
深圳市球盟会官网登录入口厂对心脏支架的关注,国产化的道路有多长?
2017-09-25
天线罩球盟会官网登录入口, 专业的TPU球盟会官网登录入口, 专业设计, 专业生产上图这样的设计, 是不是可以看清楚,
深圳球盟会官网登录入口厂加强出货前检验,能有效避免效率低下,浪费时间的问题
注塑塑胶件喷油的分类和介绍、区别
球盟会官网登录入口设计的关键
球盟会官网登录入口7级定位
球盟会官网登录入口精度分几类
叶轮球盟会官网登录入口要注意的事项